Science - Cells their properties & functions
Middle grades
Activities, lesson plans, & activity sheets
Introduction
A plan to facilitate a review and develop deeper understandings of cells and their functions for life to make healthier and safer decisions. Cell function is essential to understanding the biology of life.
Cell reproduction is a process essential for life, which understanding its function is necessary to understand growth, development, functioning, and reproduction, of all organisms. Necessary to understand how best to live healthy productive lives and prevent and cure disease to maintain wellness. Mitosis is one function critical for us to understand to be successful.
Activities include: What is a cell? Function of cell organelles, making a cell model, and investigating cell reproduction.
Background information:
This plan is designed for learners who have the following prior knowledge:
Each plant and animal have structures that serve different functions in growth, survival, and reproduction.
Related study topics:
- Difference between different animals, plants, and plants and animals.
- How cells influence health and wellness.
- What makes humans different from other animals?
Big ideas, concepts, facts, and outcomes
Big ideas
- Living organisms grow, reproduce, and provide energy for life through their genetic and molecular components. The basic structure that allows this is the cell. Cells grow, reproduce (or prolifereate), send information (signals), sense information (signals), move, change shape, stick to other surfaces (adhere), differentiate, and die. Learning about cells and how they function will improve the decisions we make.
Related concepts and facts
- Better decisions are made when information is verified before being considered accurate and used to reason and develop explanations and models to understand the world and make decisions.
- People make better decision when they understand and consider the positive and negative influences that effect their decision making.
Outcome
Use accurate verifiable information to consider cells as the basic structure of life and how and when their functions are important to consider when making decisions.
Science content - physical, earth, life
Big ideas: Cells is where living organisms grow, reproduce, and provide energy for living organisms.
Related concepts
- Each type of cell, tissue, and organ has a distinct structure and set of functions that serve the organism as a whole.
- Cells carry on the many functions needed to sustain life. They grow and divide, thereby producing more cells.
Outcome
- Identify 13 organelles and describe the function of each.
Skills for doing science
Big ideas: Real objects and phenomena can be represented with models that are helpful to communicate properties, characteristics, and explanations about them.
Related concepts and facts
- Models are structures that are similar to real objects in some ways, which may be missing detail, different size, or not able to do all the same things.
- Models are structures that correspond to real objects, events, or classes of events.
- Models can be used to think about events or process that happen very slow, fast, or on too small or large scale to change easily or safely.
Outcome
- Recognize their model as a structure to improve their understanding and ability to communicate information.
Pedagogical Overview
Activities Sequence to provide sufficient opportunities for students to achieve the targeted outcomes.
Make sure students have the prior knowledge identified in the background information.
- Activity 1 - Brainstorm and focus attention on their prior knowledge for the focus questions, and write their answers. Make a model
- Activity 2 - Animal cell Vs. plant cell
- Activity 3 - Cell cycle Vs. Mitosis
Focus questions
Unit focus question:
What kinds of decisions do people make related to cells?
- What is a cell?
- What are the structures in (organelles) a cell?
- What is the function of each (organelle) in a cell?
- How do cells reproduce?
Resources and Materials
Data sheets
- Cell structures and functions data sheet
- Animal cell diagram
- Plant cell diagram
- Cell cycle Vs Mitosis
- Mitosis starter model
References and additional resources
Scoring guides suggestions (rubric)
Lesson Plans
Activity 1 - Make an animal cell model
Materials:
- Brainstorming guidelines, page one in lab notes or blank sheet of paper,
- Lab notes - 1
- Cell structures and functions data sheet
- Cell organelle - function card set (13 cards, each with the name of one of the 13 organelles and 13 cards with the function of each organelle on each) or Take the Cell structures and functions data sheet and cut it into 26 strips so the 13 names and functions are on one strip. Fold them and place them in a hat or bowl for students to select one.
- Animal cell diagram
- Plant cell diagram
- Example cells
- Construction paper, scissors, crayons, colored pencils, markers,
Focus questions:
- What is a cell?
- What are the structures in (organelles) a cell?
- What is the function of each (organelle) in a cell?
Learning outcomes:
- Create an animal cell model.
- Label structure in an animal cell.
- Describe the functions of the structures (organelles) in animal cells.
Suggested procedures overview:
- Put students in groups, focus their attention, ask focus questions, have students write their answers in their Lab notes, and assess their initial understandings.
- Give students an organelle name or function card and have them match themselves. If they need to they can use the cell structures and functions data sheet.
Exploration
Activity:
- Ask the focus questions.
- What kinds of decisions do people make related to cells?
- What us a cell?
- What are the structures in (organelles) a cell?
- What is the function of each (organelle) in a cell?
- Give one student an organelle card and another student a function card.
- Tell students that they have to find the corresponding organelle or function with another student in the classroom.
- Display an animal cell diagram and provide a data sheet to each.
- After students are in pairs ...
- Have them, one pair at a time, come to the front of the room and point out their organelle in the cell and describe the function.
Invention
- Explain they are going to make model of the cell that we just reviewed.
- Tell them to imagine they cut a cell in half and then sliced off a piece of that cell the width of a piece of paper and they are going to make a model of that slice.
- Show examples of those made by others. Maybe previous years.
- Cells are different so every cell in the class can be different.
- Work on cells.
- Have students share their models and point out the 13 organelles.
- Ask. How did the model help you learn about animal cell structures?
Discovery
- Suggest the following activities for students to select from:
- Use microscope to observe pond cells and sketch their observations with colored pencils.
- Repeat this procedure to observe and sketch the onion cells.
- Use a Venn diagram, or any other diagram you wish, to compare the pond cells with the onion cells.
- Use high power to observe human tissue cells. Sketch what you see. Use colored pencils to complete your results of this observation. Use a Venn diagram, or any other diagram you wish, to compare the human tissue cells you observed.
- Use high power to observe nerve cells from a frog, a bird, a cat, and a human being. Sketch what you see. Use colored pencils to complete your results of this observation. Use a Venn diagram, or any other diagram you wish, to compare the nerve cells you observed.
- Select and investigate
- Share findings with the class.
- Summarize what was presented and list what was learned.
- Use Venn diagrams, lists, outlines, and drawings to illustrate similarities and differences.
Activity 2 - Plant Cell Vs. Animal
Materials:
Focus questions:
- What is a cell?
- What is the difference between a animal cell and a plant cell?
Learning outcomes:
- Describe a cell.
- Describe an animal cell.
- Describe a plant cell.
- Create a cell model.
Suggested procedures overview:
- Put students in groups, focus their attention, ask focus questions, have students write their answers in their Lab notes, and assess their initial understandings.
- Give students experiences to see the difference between plant and animal cells and discuss the differences.
- Create a model for a cell
- Have them use their models to explain if it is an animal or plant cell and what properties distinguish it.
Exploration
Activity:
- Ask the focus questions.
- What is a cell?
- What is the difference between a animal cell and a plant cell?
- Write answers in lab notes
- Share initial responses to focus questions.
Invention
- Use support activities & materials to compare animal cells and plant cells and help students understand both so they can create models and share with the class.
If support includes observations of cells, then make sure students have skill in the use of a microscope. - View actual examples or slides and or use diagrams:
- Discuss how plant and animal cells are unique. May use Venn diagrams, lists, outlines, and drawings to illustrate similarities and differences.
plant cells have cell walls, chloroplasts, and a central vacuole, which animal cells do not. Most plant centrosomes do not have centrioles. - Have students create their model to present in class and support the cell being an animal or plant and reasons why.
- Share and discuss
Activity 3 - Cell cycle Vs. Mitosis
Materials:
Focus questions:
- How do cells reproduce?
- What is the cell cycle?
- What is mitosis?
- What is the difference between how plant and animal cells reproduce?
- What would a mitosis model look like?
Learning outcomes:
- Describe the cell cycle.
- Describe mitosis.
- Describe the the difference between plant and animal cell mitosis.
Suggested procedures overview:
- Put students in groups, focus their attention, ask focus questions, have students write their answers in their Lab notes, and assess their initial understandings.
- Give students the data sheet.
- have them create a model for the cell cycle
- Have them create a model for mitosis.
- Have them use their models to explain the difference between plant and animal cell reproduction.
Exploration
Activity:
- Ask the focus questions.
- How do cells reproduce?
- What is the cell cycle?
- What is mitosis?
- What is the difference between how plant and animal cells reproduce?
- Write answers in lab notes
- Share initial responses to focus questions.
Invention
- Give Cell cycle Vs Mitosis - fact sheet
- Review cell cycle along with Video of DNA being copied (1:05)
- Review mitosis
- Use support activities & materials to help students understand both so they can create models and share with the class.
If support includes observations of cells, then make sure students have skill in the use of a microscope. - Have students create their model to present in class to model the steps of the cell cycle and mitosis.
- Share and discuss
Lab Notes for activities
Activity 1 - Brainstorming: What ?
What kinds of decisions do people make related to cells?
Describe a cell.
Name some structures (organelles) in a cell.
List the function of each structure (organelle) you named above.
Activity 2 - Cells - animals Vs. plants
What is a cell?
What is the difference between a animal cell and a plant cell?
Make a model of a cell
Activity 3 - Cell cycle Vs. Mitosis
How do cells reproduce?
What is the cell cycle?
What is mitosis?
What is the difference between how plant and animal cells reproduce?
Make a mitosis model
Data Sheets
Cell structures and functions
1. Cell membrane: controls passage of materials into and out of the cell.
2. Centriole: takes part in cell production.
3. Cytoplasm: consists of fluid and organelles in which most cell function occurs; includes parts of cell other than nucleus and cell membrane.
4. Flagellum: locomotion; helps move around
5. Lysosome: digests materials in the cell.
6. Mitochondrion: produces energy for the cell
7. Endoplasmic Reticulum: transports substances within the cell
-smooth- no ribosome’s; assembles lipids
-rough- closest to nucleus: assembles proteins out of amino acid.
8. Golgi Apparatus: transports substances to the surface of the cell and proteins get finishing touches; modify, pack, and sorts.
9. Nuclear Envelope: surrounds nucleus and controls passage of materials into and out of nucleus.
10. Nucleolus: takes part in production of ribosomes.
11. Nucleus: Controls all cell functions.
12. Nuclear pores: passage way between, in and out.
13. Ribosome: makes protein for the cell.
Cell drawings
Immune cells
B cell

Produces antibodies
Eosinophil cell

Attacks parasites and pathogens
Macrophage cell

Consumes bacteria and destroys damaged cells
Neutrophil cell

Captures and kills pathogens
T cell

Kills infected cells and orchestrates immune response
Nerve cell

Red blood cell

Bone cells

Cell cycle Vs Mitosis
Cell cycle phases (not mitosis)
Interphase - The cell grows in size, new organelles are made, and the DNA of the chromosomes are copied in preparation for mitosis and cytokinesis.
It is subdivided into 3 phases: G1, S, and G2 that prepare for Mitosis (sometimes considered the fourth phase).
- Gap 1 phase (G 1) the cell grows larger and the number of organelles increases. (Some cells stop at the G1 phase)
- Synthesis phase (S) the cell replicates its DNA and at this time the cell has twice as much DNA as normal, thus needing to divide. Video of DNA being copied (1:05)
- Gap 2 phase (G 2) where more growth occurs and the cell is ready to divide and start mitosis.
- Mitosis ...
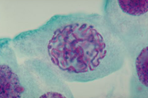
Mitosis
Mitosis is a nuclear cell division in somatic (non-reproductive) eukaryotic cells (cells with DNA in chromosomes in a nucleus) that creates new daughter cells with the same number of chromosomes as the parent cell. Prokaryotic cells (bacteria and cyanobacteria) reproduce through binary fission where the cell copies its DNA and then splits into 2 new cells.
Mitosis is important for cell growth and repair in multicellular organisms. It is different in plants and animals.
Phases
Mitosis takes place in 4 unique, but continuous phases:
- prophase,
- metaphase,
- anaphase, and
- telophase.
The completion of the phase results in the formation of 2 genetically identical daughter cells. Cytokinesis (the cytoplasmic division of a cell, into two daughter cells, at the end of mitosis overlaps with the last phases of mitosis).
Prophase - the first phase of mitosis:

- Chromatin coils tightly into visible chromosomes, each with 2 identical sister chromatids joined by the centromere.
- The nuclear envelope begins to break down.
- In animal cells, centrioles separate and move to opposite poles of the cell.
Metaphase - the second phase of mitosis:

- The nuclear envelope is completely gone, allowing for the formation of a spindle fiber.
- Chromosomes line up, with spindle fibers providing the framework that holds them in place.
Anaphase - the third phase of mitosis:
- The shortest phase
- Chromosomes separate into individual chromatids and pull to opposite ends.
- Cytokinesis begins.
Telophase- fourth and final phase of mitosis:

- The separate chromatids uncoil into the chromatin, as seen in interphase.
- Nuclear envelopes reform around the chromatin on each side of the dividing cell.
Cytokinesis is NOT a phase of mitosis. It begins in late anaphase and continues to the completion of mitosis. It starts when the cytoplasm begins to separate. In animal cells, the cell membrane simply pinches at the center of the cell to form two new cells. Plant cells, have a cell wall, and do not pinch into two cells. They form tiny vesicles from the Golgi apparatus that line up in the center of the cell and form a cell plate. These vesicles fuse forming two daughter cells for the new cell membranes. Cellulose deposits form between the new membranes and create the new cell walls, then the new cells enter interphase and continue through the cell cycle.
Source Teaching the Cell Cycle and Mitosis Mitosis in plant cells by Polly Dornette October 2017
Mitosis & actin
Source: Science. Rewriting the Rules of Cell Division. William Bement. May 22, 2025.

Mouse mitosis phases
Source: Science. Actin organizes chromosomes and microtubles t ensure mitotic fidelity in the preimplantation embryo. May 22, 2025.
Word bank
Cell - the smallest structure of an organism. Made of cytoplasm and a nucleus enclosed in a membrane.
Cell membrane - controls passage of materials into and out of the cell.
Centriole - takes part in cell production.
Cytoplasm - consists of fluid and organelles in which most cell function occurs; includes parts of cell other than nucleus and cell membrane.
Endoplasmic Reticulum - transports substances within the cell
- Smooth Endoplasmic Reticulum- no ribosome’s; assembles lipids
- Rough Endoplasmic Reticulum - closest to nucleus: assembles proteins out of amino acid.
Flagellum - locomotion; helps move around
Golgi Apparatus - transports substances to the surface of the cell and proteins get finishing touches; modify, pack, and sorts.
Lysosome - digests materials in the cell.
Mitochondrion - produces energy for the cell
Nuclear Envelope - surrounds nucleus and controls passage of materials into and out of nucleus.
Nuclear pores - passage way between, in and out.
Nucleolus - takes part in production of ribosomes.
Nucleus - Controls all cell functions.
Ribosome - makes protein for the cell.
References
- Teaching the Cell Cycle and Mitosis Mitosis in plant cells by Polly Dornette October 2017
- DNA sometimes mutates. One example is translocation, which happens when DNA double strand breaks are joined inappropriately.

Source Replication Timing and Genetic Instability: Synchronized activation of DNA replication origins induces genetic instability in lympnoma. Science September 2022.